CONTACTE-NOS

Rua Dr. António Patrício Gouveia, 14 - Lj 14D Oeiras 2780-185 21 440 99 30 info@clinicaverissimo.com http://www.clinicaverissimo.com

SIGA-NOS

Nas redes sociais
Copyright © Clínica Dentária Dra. Lourdes Verissimo Unipessoal, Lda. Todos os direitos reservados
Dentisteria Estética e Cosmética A qualidade dos materiais que utilizamos aliada á mestria dos nossos profissionais são a garantia do seu bem estar. Sabemos que uma boa aparência é muito mais do que restaurar o seu sorriso é também restaurar a sua confiança.
Facetas Facetas Pequenas correcções Pequenas correcções Branqueamento Branqueamento Videos Videos
UM SORRISO BRILHANTE PODE FAZER A DIFERENÇA
Facetas dentárias em Cerâmica
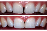
Quando os dentes anteriores estão feios, desalinhados ou com restaurações antigas, fazendo um desgaste superficial dos mesmos, ou nem fazendo, dependendo dos casos, é possível devolver a harmonia recorrendo ás facetas estéticas em cerâmica.
Branqueamento dentário
Tal como o cabelo e pele, os dentes também variam na cor. Alguns são amarelados ou mais escuros do que outros, mesmo quando saudáveis. Branquear o seu sorriso é uma das formas menos onerosas e menos invasivas de melhorar a sua aparência. O clareamento dental é completamente seguro e realça o seu sorriso sem qualquer desgaste no dente natural.
Ver video Ver video
Correção de pequenos defeitos
A evolução das resinas compostas e desenvolvimento de técnicas de adesão desses materiais ao esmalte dentário e dentina, causaram uma verdadeira revolução na dentisteria, permitindo assim soluções com uma boa relação qualidade / preço para os mais variados casos.
Dentes anteriores fraturados Fecho de diastemas
Fecho de diastemas
Restaurar a harmonia em dentes desalinhados
Restaurar a harmonia em dentes desalinhados
Substituição de restaurações antigas
Dentes anteriores fraturados
Substituição de restaurações antigas
Ver video Ver video
LIVRO DE RECLAMAÇÕES

SIGA-NOS

A q ualidade dos materiais que utilizamos aliada á mestria dos nossos profissionais são a garantia do seu bem estar. Sabemos que uma boa aparência é muito mais do que restaurar o seu sorriso é também restaurar a sua confiança .
Dentisteria Estética e Cosmética
Facetas Facetas Pequenas correcções Pequenas correcções Branqueamento Branqueamento Videos Videos
UM SORRISO BRILHANTE PODE FAZER A DIFERENÇA
REALÇAR
Facetas dentárias em Cerâmica
Quando os dentes anteriores estão feios, desalinhados ou com restaurações antigas, fazendo um desgaste superficial dos mesmos, ou nem fazendo, dependendo dos casos, é possível devolver a harmonia recorrendo ás facetas estéticas em cerâmica.
Branqueamento dentário
Tal como o cabelo e pele, os dentes também variam na cor. Alguns são amarelados ou mais escuros do que outros, mesmo quando saudáveis. Branquear o seu sorriso é uma das formas menos onerosas e menos invasivas de melhorar a sua aparência. O clareamento dental é completamente seguro e realça o seu sorriso sem qualquer desgaste no dente natural.
Ver video Ver video
Correção de pequenos defeitos
A evolução das resinas compostas e desenvolvimento de técnicas de adesão desses materiais ao esmalte dentário e dentina, causaram uma verdadeira revolução na dentisteria, permitindo assim soluções com uma boa relação qualidade / preço para os mais variados casos.
Dentes anteriores fraturados Fecho de diastemas
Fecho de diastemas
Restaurar a harmonia em dentes desalinhados
Restaurar a harmonia em dentes desalinhados
Substituição de restaurações antigas
Dentes anteriores fraturados
Substituição de restaurações antigas
Ver video Ver video
LIVRO DE RECLAMAÇÕES