CONTACTE-NOS

Rua Dr. António Patrício Gouveia, 14 - Lj 14D Oeiras 2780-185 21 440 99 30 info@clinicaverissimo.com http://www.clinicaverissimo.com

SIGA-NOS

Nas redes sociais
Copyright © Clínica Dentária Dra. Lourdes Verissimo Unipessoal, Lda. Todos os direitos reservados
Restaurações cerâmicas As restaurações cerâmicas ou em cerómero são projetadas para proteger os dentes danificados . Uma coroa total ou uma coroa parcial (inlay ou onlay) encaixa sobre o dente comprometido, imperfeições como rachaduras ou estaladelas escondidos são eliminados ou protegidos de forma a restaurar a funcionalidade e fortalecer os dentes ao mesmo tempo imitando a cor, contorno e textura de superfície de seus dentes naturais.
SORRIR E MASTIGAR COM CONFIANÇA É NATURAL
Com o núcleo em Zircónio, não o problema da linha escura que muitas vezes se nas próteses fixas convencionais com o núcleo em metal, é especialmente indicada para dentes na região anterior.
Coroas e pontes em zircónio
Prótese fixa sem metal - Zircónio
Inlay ou Onlay em cerómero
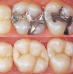
Inlays e onlays dentais são restaurações utilizadas para reparar os dentes posteriores com cárie de leve a moderada ou rachados e fraturados. Para dentes que não estejam suficientemente danificados para precisar de uma coroa, esta é a solução ideal .
Dentisteria Restauradora Ao longo do tempo, os dentes podem apresentar cáries que passam muitas vezes despercebidas. A Dentisteria restauradora é a forma mais eficaz e menos onerosa de preservar e garantir a integridade dos dentes.
Restaurações isentas de mercúrio
Com o desenvolvimento dos materiais compósitos e sistemas de aderência dos mesmos, é possível hoje em dia restaurar com toda a segurança, mais estética e saudável os dentes, restabelecendo a função mastigatória e a estética do sorriso a um preço muito acessível.
Aplicação de selantes
Selante é um verniz resinoso transparente que é usado para "pintar" as superfícies dos dentes posteriores e age como uma película protetora, facilitando a limpeza.
Restaurações isentas de mercúrio Restaurações isentas de mercúrio Restaurações Cerâmicas Restaurações Cerâmicas
LIVRO DE RECLAMAÇÕES
Com o núcleo em Zircónio, não o problema da linha escura que muitas vezes se nas próteses fixas convencionais com o núcleo em metal, é especialmente indicada para dentes na região anterior.

SIGA-NOS

SORRIR E MASTIGAR COM CONFIANÇA É NATURAL
As restaurações cerâmicas ou em cerómero são projetadas para proteger os dentes danificados . Uma coroa total ou uma coroa parcial (inlay ou onlay) encaixa sobre o dente comprometido, imperfeições como rachaduras ou estaladelas escondidos são eliminados ou protegidos de forma a restaurar a funcionalidade e fortalecer os dentes ao mesmo tempo imitando a cor, contorno e textura de superfície de seus dentes naturais.
Restaurações cerâmicas
RESTAURAR Restaurações isentas de mercúrio Restaurações isentas de mercúrio Restaurações  Cerâmicas Restaurações  Cerâmicas
Coroas e pontes em zircónio
Prótese fixa sem metal - Zircónio
Inlay ou Onlay em cerómero
Inlays e onlays dentais são restaurações utilizadas para reparar os dentes posteriores com cárie de leve a moderada ou rachados e fraturados. Para dentes que não estejam suficientemente danificados para precisar de uma coroa, esta é a solução ideal .
Dentisteria Restauradora Ao longo do tempo, os dentes podem apresentar cáries que passam muitas vezes despercebidas. A Dentisteria restauradora é a forma mais eficaz e menos onerosa de preservar e garantir a integridade dos dentes.
Restaurações isentas de mercúrio
Com o desenvolvimento dos materiais compósitos e sistemas de aderência dos mesmos, é possível hoje em dia restaurar com toda a segurança, mais estética e saudável os dentes, restabelecendo a função mastigatória e a estética do sorriso a um preço muito acessível.
Aplicação de selantes
Selante é um verniz resinoso transparente que é usado para "pintar" as superfícies dos dentes posteriores e age como uma película protetora, facilitando a limpeza.
LIVRO DE RECLAMAÇÕES